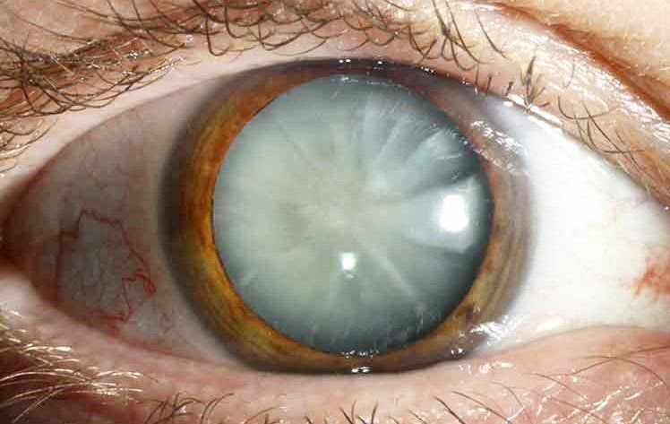
El Foro de Transformación Ciudadana, en colaboración con la empresa Ocuplen y el Hospital de Alta Especialidad de Zumpango, llevará a cabo una jornada de cirugías de catarata a partir del 29 de octubre.
El programa forma parte de las actividades impulsadas por el Foro, representado por Leticia y el doctor Jorge, en coordinación con el cirujano responsable, doctor Sixtos, director de Ocuplen. Las intervenciones se realizarán en el quirófano denominado “El Barco”, bajo la técnica FACO, que utiliza ultrasonido y permite procedimientos mínimamente invasivos con anestesia local.
Cada cirugía tendrá un costo de 12 mil pesos por ojo, una cifra menor en comparación con los precios habituales en el sector privado, que oscilan entre 35 mil y 40 mil pesos. Las operaciones serán ambulatorias, con una duración aproximada de 15 a 20 minutos, y los pacientes podrán regresar a sus hogares tras un breve periodo de observación.
Previo a la cirugía, se realizará una valoración médica y estudios preoperatorios para determinar la viabilidad del procedimiento. El programa está abierto a personas de cualquier municipio o estado.
Asimismo, el Foro de Transformación Ciudadana informó que el próximo 31 de octubre se inaugurará una clínica de hemodiálisis en Huehuetoca. El proyecto se concretó mediante un convenio entre el DIF municipal, el gobierno local y la empresa Nefro, encargada de equipar el espacio sin requerir recursos públicos.
La directora del Hospital de Alta Especialidad de Zumpango, doctora Abigaíl, ha colaborado en la implementación de estas jornadas con el objetivo de ampliar los servicios de salud a la población que lo requiera.
